Echocardiography
Accredited Facility
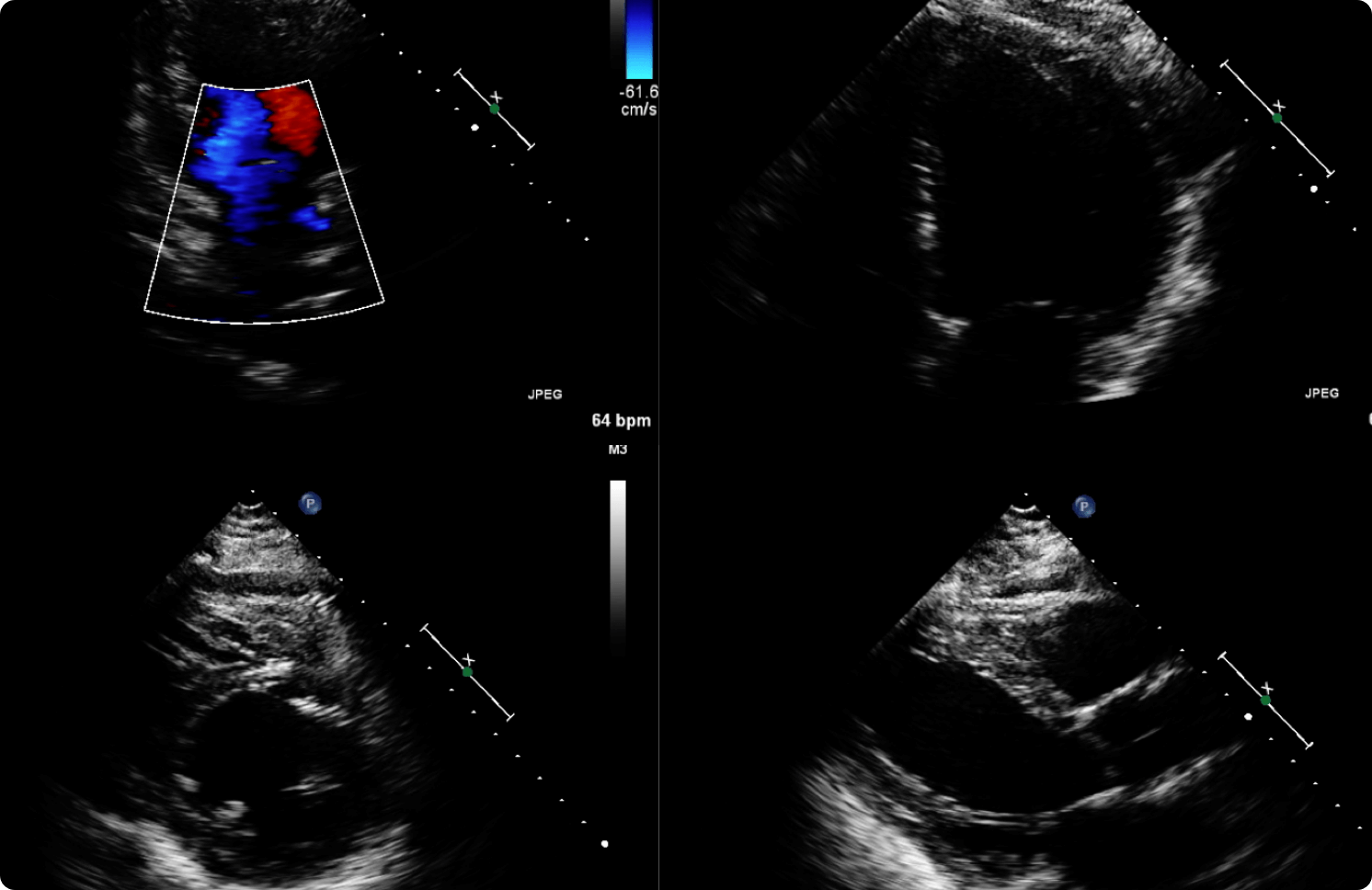
Echocardiography is an ultrasound examination of the heart which takes approximately 40 minutes to perform. Echocardiograms are safe and painless diagnostic procedures that use high-frequency sound waves to capture moving pictures.
Tests are performed by our fully trained technologists and are read by our in-house cardiologist. Report turnaround time is typically two days.
We are an Echocardiography accredited facility.
Call our front desk at
905-985-9727 to book an appointment.
Echocardiography may be ordered by your doctor for any of the following reasons:
Newly discovered murmur by your physician
Known or suspected narrowing (stenosis) of the heart valves, such as aortic or mitral stenosis
Known or suspected leakiness (insufficiency/regurgitation) of the heart valves
Follow up after surgery to replace or repair a heart valve (prosthetic valve assessment)
Ischemic heart disease to assess the degree to which heart muscle may have been damaged by a previous myocardial infarction (heart attack)
High blood pressure (hypertension) to look for signs of abnormal stress to the heart such as thickening of the wall
Abnormality suspected at the time of routine ECG
Looking for a cause for suspected or proven stroke (emboli or shunts)
Unexplained loss of consciousness (syncope)
Irregular heartbeat and palpitations
(Source: British Society of Echocardiography)
As with all our studies, we accept requisitions issued by a licensed
physician for any Diagnostic Clinic in Ontario.
Patient Preparation
No Preparation necessary
Procedure Duration
Approximately 40 minutes

YOU MAY BE ASKED TO CHANGE INTO A GOWN PROVIDED BY THE CLINIC.
Please Arrive 10 minutes Prior To Your Appointment Time.
We Are Committed To Performing Your Examination On Time.
We May Have To Reschedule Your Appointment Should You Arrive Late.
Have Questions?
Read our FAQ
